Web Analytics Made Easy - Statcounter
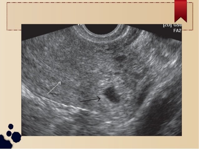
interstitial vs cornual ectopic pregnancy Cornual pregnancy as a rare entity of ectopic pregnancy: a case report

interstitial vs cornual ectopic pregnancy Cornual pregnancy as a rare entity of ectopic pregnancy: a case report

Cornual ectopic case series

If you are looking for Cornual Ectopic Pregnancy Symptoms - pregnancysymptoms you've visit to the right place. We have 35 Pictures about Cornual Ectopic Pregnancy Symptoms - pregnancysymptoms like (PDF) Cornual pregnancy and interstitial pregnancy, AAEM Resident and Student Association : Interstitial versus Cornual and also Figure 2 from Management of cornual (interstitial) pregnancy | Semantic. Here you go:

Cornual Ectopic Pregnancy Symptoms - Pregnancysymptoms

Cornual Ectopic Pregnancy Symptoms - pregnancysymptoms pregnancysymptomslove.blogspot.com

Cornual Ectopic Case Series | PPT

Cornual ectopic case series | PPT www.slideshare.net

(PDF) Distinguishing Between Cornual, Angular And Interstitial Ectopic

(PDF) Distinguishing between cornual, angular and interstitial ectopic www.researchgate.net

Cornual Ectopic Case Series | PPT

Cornual ectopic case series | PPT www.slideshare.net

Figure 1 From Management Of Interstitial (cornual) Pregnancy | Semantic

Figure 1 from Management of interstitial (cornual) pregnancy | Semantic www.semanticscholar.org

Laparoscopic View Of Large Right Interstitial Ectopic Pregnancy In Case

Laparoscopic view of large right interstitial ectopic pregnancy in case www.researchgate.net

(PDF) Interstitial And Cornual Ectopic Pregnancy: A Review Of The

(PDF) Interstitial and Cornual Ectopic Pregnancy: A Review of the www.researchgate.net

Cornual Ectopic Case Series

Cornual ectopic case series www.slideshare.net

cornual ectopic slideshare

Ectopic Pregnancy

Ectopic Pregnancy www.learningradiology.com

ectopic pregnancy cornual interstitial right

AAEM Resident And Student Association : Interstitial Versus Cornual

AAEM Resident and Student Association : Interstitial versus Cornual aaemrsa.blogspot.com

pregnant interstitial may

(PDF) Is Interstitial Pregnancy Clinically Different From Cornual

(PDF) Is Interstitial Pregnancy Clinically Different From Cornual www.researchgate.net

pregnancy interstitial cornual clinically case different report

Ectopic Pregnancy | Radiology Key

Ectopic Pregnancy | Radiology Key radiologykey.com

ectopic pregnancy cornual interstitial radiology weeks figure

Figure 2 From Management Of Cornual (interstitial) Pregnancy | Semantic

Figure 2 from Management of cornual (interstitial) pregnancy | Semantic www.semanticscholar.org

Ectopic Pregnancy Ultrasound Vs Normal Pregnancy

Ectopic Pregnancy Ultrasound Vs Normal Pregnancy inutoneko.info

(PDF) Successful Procedure In Conservative Management Of Interstitial

(PDF) Successful Procedure in Conservative Management of Interstitial www.researchgate.net

interstitial conservative pregnancy ectopic procedure

Cornual Ectopic Case Series | PPT

Cornual ectopic case series | PPT www.slideshare.net

[PDF] Modern Management Of Cornual Ectopic Pregnancy | Semantic Scholar

[PDF] Modern Management of Cornual Ectopic Pregnancy | Semantic Scholar www.semanticscholar.org

ectopic cornual

📃 Interstitial Pregnancy: Color Doppler Demonstration

📃 Interstitial pregnancy: color Doppler demonstration thefetus.net

pregnancy interstitial angular pregnancies cornual ectopic tubal gravidanza classification locations ecografia extrauterina demonstration doppler gestation

Oh MAN! - Interstitial Ectopic — Kwak Talk

Oh MAN! - Interstitial Ectopic — Kwak Talk kwaktalk.org

(PDF) An Interstitial Ectopic Pregnancy Managed With Laparoscopic

(PDF) An interstitial ectopic pregnancy managed with laparoscopic www.researchgate.net

Ultrasonographic Appearance Of Cornual Ectopic Pregnancy. | Download

Ultrasonographic appearance of cornual ectopic pregnancy. | Download www.researchgate.net

[PDF] Modern Management Of Cornual Ectopic Pregnancy | Semantic Scholar

[PDF] Modern Management of Cornual Ectopic Pregnancy | Semantic Scholar www.semanticscholar.org

pregnancy ectopic cornual incidence rencontre badoo glowm femmes beyrouth reproductive eds polan maheux ah

Oh MAN! - Interstitial Ectopic — Kwak Talk

Oh MAN! - Interstitial Ectopic — Kwak Talk kwaktalk.org

(PDF) Cornual Pregnancy And Interstitial Pregnancy

(PDF) Cornual pregnancy and interstitial pregnancy www.researchgate.net

Cornual Ectopic Pregnancy | Fortis Healthcare

Cornual Ectopic Pregnancy | Fortis Healthcare www.fortishealthcare.com

(PDF) Challenges In The Diagnosis And Management Of Interstitial And

(PDF) Challenges in the diagnosis and management of interstitial and www.researchgate.net

cornual interstitial pregnancies diagnosis ectopic challenges management

Cornual Ectopic Pregnancy: A Case Series And Literature Review - Authorea

Cornual Ectopic Pregnancy: a Case series and Literature review - Authorea www.authorea.com

Figure 2 From Management Of Interstitial (cornual) Pregnancy | Semantic

Figure 2 from Management of interstitial (cornual) pregnancy | Semantic www.semanticscholar.org

Cornual Pregnancy As A Rare Entity Of Ectopic Pregnancy: A Case Report

Cornual pregnancy as a rare entity of ectopic pregnancy: A case report www.semanticscholar.org

Table 2 From Management Of Cornual (interstitial) Pregnancy | Semantic

Table 2 from Management of cornual (interstitial) pregnancy | Semantic www.semanticscholar.org

15 Modern Management Of Cornual Ectopic Pregnancy – Artofit

15 modern management of cornual ectopic pregnancy – Artofit www.artofit.org

Emergency Ultrasound Identification Of A Cornual Ectopic Pregnancy

Emergency Ultrasound Identification of a Cornual Ectopic Pregnancy westjem.com

cornual pregnancy ectopic ultrasound emergency

Figure 1 From Diagnosis Of Interstitial Ectopic Pregnancy Using A Three

Figure 1 from Diagnosis of interstitial ectopic pregnancy using a three www.semanticscholar.org

(PDF) Interstitial Ectopic Pregnancy In A 41-year-old Woman: A Case Report

(PDF) Interstitial ectopic pregnancy in a 41-year-old woman: A case report www.researchgate.net

pregnancy ectopic interstitial case woman report year old

(PDF) Interstitial Ectopic Pregnancy: A Case Series

(PDF) Interstitial ectopic pregnancy: a case series www.researchgate.net

Ectopic pregnancy. (pdf) cornual pregnancy and interstitial pregnancy. Oh man!