Web Analytics Made Easy - Statcounter
molar pregnancy 5 weeks ultrasound Molar pregnancy: definition, causes, and symptoms

molar pregnancy 5 weeks ultrasound Molar pregnancy: definition, causes, and symptoms

Figure 1 from ultrasound diagnosis of a molar pregnancy

If you are searching about Molar Pregnancy | Emory School of Medicine you've came to the right place. We have 35 Images about Molar Pregnancy | Emory School of Medicine like Early Molar Pregnancy Ultrasound, Early Molar Pregnancy Ultrasound and also Molar pregnancy? | BabyCenter. Read more:

Molar Pregnancy | Emory School Of Medicine

Molar Pregnancy | Emory School of Medicine med.emory.edu

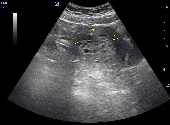
molar ultrasound medicine emory

Figure 1 From Ultrasound Diagnosis Of Molar Pregnancy | Semantic Scholar

Figure 1 from Ultrasound diagnosis of molar pregnancy | Semantic Scholar www.semanticscholar.org

First Ultrasound - Previous Molar Pregnancy - July 2019 Birth Club

First ultrasound - previous molar pregnancy - July 2019 Birth Club www.babycenter.ca

molar pregnancy ultrasound babycenter previous first

Detecting A Molar Pregnancy: Can Ultrasound Provide Clues? | ShunChild

Detecting A Molar Pregnancy: Can Ultrasound Provide Clues? | ShunChild shunchild.com

Ultrasound Of Complete Molar Pregnancy : R/Radiology

Ultrasound of Complete Molar Pregnancy : r/Radiology www.reddit.com

Figure 1 From Ultrasound Diagnosis Of Molar Pregnancy | Semantic Scholar

Figure 1 from Ultrasound diagnosis of molar pregnancy | Semantic Scholar www.semanticscholar.org

Molar Pregnancy Information. Ultrasound Included. - Ultrasoundfeminsider

Molar pregnancy information. Ultrasound included. - Ultrasoundfeminsider ultrasoundfeminsider.com

Molar Pregnancy | Point-of-Care Ultrasound Certification Academy

Molar Pregnancy | Point-of-Care Ultrasound Certification Academy www.pocus.org

Ultrasound Detection Of Molar Pregnancy Medical Exhibit Medivisuals

Ultrasound Detection of Molar Pregnancy Medical Exhibit Medivisuals medivisuals1.com

molar pregnancy ultrasound detection medivisuals1

Molar Pregnancy - The Western Journal Of Emergency Medicine

Molar Pregnancy - The Western Journal of Emergency Medicine westjem.com

pregnancy molar ultrasound mole uterus complete enlarged trophoblastic disease transabdominal gestational pelvis echogenic endometrial arrow cystic areas multiple within revealing

Point-of-Care Ultrasound To Diagnose Molar Pregnancy: A Case Report - JETem

Point-of-Care Ultrasound to Diagnose Molar Pregnancy: A Case Report - JETem jetem.org

What Is A Molar Pregnancy?

What is a Molar Pregnancy? www.mypregnancybaby.com

pregnancy molar what ultrasound baby

Early Molar Pregnancy Ultrasound

Early Molar Pregnancy Ultrasound mungfali.com

📃 Molar Pregnancy

📃 Molar pregnancy thefetus.net

Molar Pregnancy Symptoms 5 Weeks - Pregnancysymptoms

Molar Pregnancy Symptoms 5 Weeks - pregnancysymptoms pregnancysymptomslove.blogspot.com

molar partial hydatidiform ultrasound mdedge glance

Molar Pregnancy Information Ultrasound Included – Artofit

Molar pregnancy information ultrasound included – Artofit www.artofit.org

Molar Pregnancy: Definition, Causes, And Symptoms - GoodRx

Molar Pregnancy: Definition, Causes, and Symptoms - GoodRx www.goodrx.com

Molar Pregnancy, Hydatidiform Mole - Causes, Symptoms, Treatment

Molar Pregnancy, Hydatidiform Mole - Causes, Symptoms, Treatment healthjade.net

molar pregnancy ultrasound symptoms mole hydatidiform signs fetus causes

Drhanif: Molar Pregnancy

drhanif: Molar Pregnancy hanifatlumut.blogspot.com

molar pregnancy ultrasound uterus

Can An Ultrasound Miss A Molar Pregnancy? | ShunChild

Can An Ultrasound Miss A Molar Pregnancy? | ShunChild shunchild.com

Early Molar Pregnancy Ultrasound

Early Molar Pregnancy Ultrasound mungfali.com

Molar Pregnancy Information. Ultrasound Included. - Ultrasoundfeminsider

Molar pregnancy information. Ultrasound included. - Ultrasoundfeminsider ultrasoundfeminsider.com

pregnancy ultrasound molar weeks fetal face 3d

Early Molar Pregnancy Ultrasound

Early Molar Pregnancy Ultrasound mungfali.com

Molar Pregnancy? | BabyCenter

Molar pregnancy? | BabyCenter community.babycenter.com

molar pregnancy ultrasound partial anyone experience

Molar Pregnancy Information. Ultrasound Included. - Ultrasoundfeminsider

Molar pregnancy information. Ultrasound included. - Ultrasoundfeminsider ultrasoundfeminsider.com

Figure 1 From Ultrasound Diagnosis Of A Molar Pregnancy | Semantic Scholar

Figure 1 from Ultrasound diagnosis of a molar pregnancy | Semantic Scholar www.semanticscholar.org

Molar Pregnancy - WikEM

Molar pregnancy - WikEM www.wikem.org

molar pregnancy ultrasound wikem transabdominal steadyhealth

Can A Molar Pregnancy Be Misdiagnosed? - Classified Mom

Can A Molar Pregnancy Be Misdiagnosed? - Classified Mom www.classifiedmom.com

Molar Pregnancy Information. Ultrasound Included. - Ultrasoundfeminsider

Molar pregnancy information. Ultrasound included. - Ultrasoundfeminsider ultrasoundfeminsider.com

Early Molar Pregnancy Ultrasound

Early Molar Pregnancy Ultrasound mungfali.com

Molar Pregnancy - WikEM

Molar pregnancy - WikEM www.wikem.org

molar pregnancy ultrasound snowstorm wikem findings

Early Molar Pregnancy Ultrasound

Early Molar Pregnancy Ultrasound mungfali.com

Molar Pregnancy Information. Ultrasound Included. - Ultrasoundfeminsider

Molar pregnancy information. Ultrasound included. - Ultrasoundfeminsider ultrasoundfeminsider.com

ultrasound pregnancy molar weeks baby information included testing

Molar Pregnancy | Point-of-Care Ultrasound Certification Academy

Molar Pregnancy | Point-of-Care Ultrasound Certification Academy www.pocus.org

Molar Pregnancy | Point-of-Care Ultrasound Certification Academy

Molar Pregnancy | Point-of-Care Ultrasound Certification Academy www.pocus.org

Molar pregnancy ultrasound snowstorm wikem findings. Drhanif: molar pregnancy. Molar pregnancy, hydatidiform mole