Web Analytics Made Easy - Statcounter
molar pregnancy discharge pictures Pregnancy molar

molar pregnancy discharge pictures Pregnancy molar

Molar pregnancy information. ultrasound included.

If you are looking for Molar Pregnancy, Hydatidiform Mole - Causes, Symptoms, Treatment you've visit to the right page. We have 35 Pictures about Molar Pregnancy, Hydatidiform Mole - Causes, Symptoms, Treatment like Molar Pregnancy | PDF | Medical Specialties | Reproduction, Molar Pregnancy Discharge Pictures | You Getting Pregnant and also Molar pregnancy. Here you go:

Molar Pregnancy, Hydatidiform Mole - Causes, Symptoms, Treatment

Molar Pregnancy, Hydatidiform Mole - Causes, Symptoms, Treatment healthjade.net

molar pregnancy ultrasound symptoms mole hydatidiform signs fetus causes

Means Of Pregnancy Termination In Patients With Molar Pregnancy

Means of pregnancy termination in patients with molar pregnancy www.researchgate.net

Molar Pregnancy - StoryMD

Molar Pregnancy - StoryMD storymd.com

Molar Pregnancy

Molar pregnancy www.slideshare.net

pregnancy molar

Case Study: Molar Pregnancy | Case Studies | POCUS.org

Case Study: Molar Pregnancy | Case Studies | POCUS.org www.pocus.org

Hydatidiform Molar | Complete Molar Pregnancy | Kashele Photography

Hydatidiform Molar | Complete Molar Pregnancy | Kashele Photography kashelephotography.com

molar hydatidiform

Molar Pregnancy ( Case Presentation) | PPT

Molar pregnancy ( Case Presentation) | PPT www.slideshare.net

Molar Pregnancy | PDF | Medical Specialties | Reproduction

Molar Pregnancy | PDF | Medical Specialties | Reproduction www.scribd.com

Unveiling The Enigma: Understanding Molar Pregnancy | MaxinHealth - Blog

Unveiling the Enigma: Understanding Molar Pregnancy | MaxinHealth - Blog maxinhealth.com

What Is A Molar Pregnancy: Causes, Symptoms And Treatment

What Is A Molar Pregnancy: Causes, Symptoms And Treatment sg.theasianparent.com

Molar Pregnancy: Symptoms, Molar Pregnancy Ultrasound And More | BabyCenter

Molar pregnancy: symptoms, molar pregnancy ultrasound and more | BabyCenter www.babycenter.com

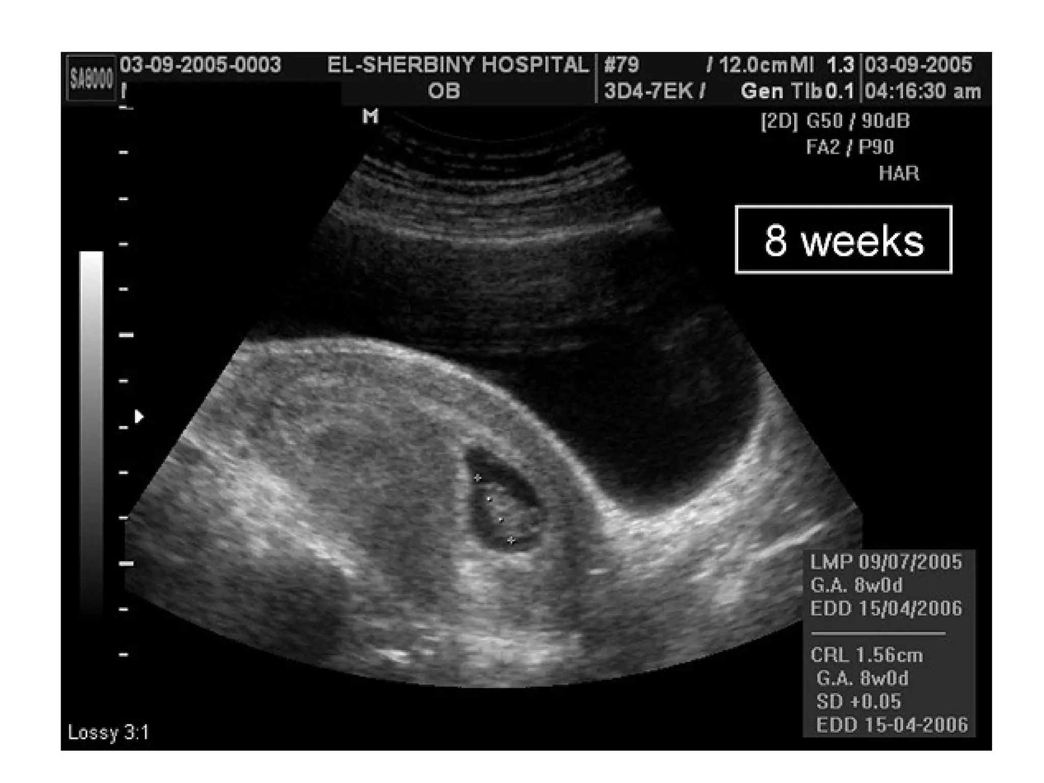
Molar Pregnancy Information. Ultrasound Included. - Ultrasoundfeminsider

Molar pregnancy information. Ultrasound included. - Ultrasoundfeminsider ultrasoundfeminsider.com

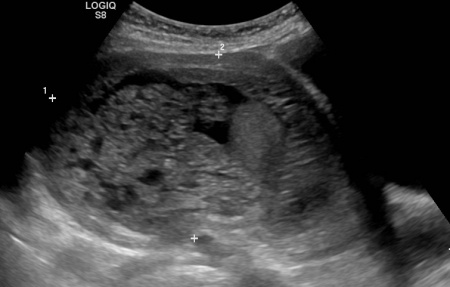
Molar Pregnancy - WikEM

Molar pregnancy - WikEM www.wikem.org

molar pregnancy ultrasound wikem transabdominal steadyhealth

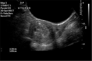
Molar Pregnancy Information. Ultrasound Included. - Ultrasoundfeminsider

Molar pregnancy information. Ultrasound included. - Ultrasoundfeminsider ultrasoundfeminsider.com

pregnancy molar ultrasound

20+ Molar Pregnancy Stock Photos, Pictures & Royalty-Free Images - IStock

20+ Molar Pregnancy Stock Photos, Pictures & Royalty-Free Images - iStock www.istockphoto.com

What Is A Molar Pregnancy?

What is a Molar Pregnancy? pregnancyloss-blog.wixsite.com

Molar Pregnancy: Causes, Symptoms, Risks And Treatment | Health Build

Molar Pregnancy: Causes, Symptoms, Risks and Treatment | Health Build healthbuild11.blogspot.com

Molar Pregnancy | PPT

Molar pregnancy | PPT www.slideshare.net

Molar Pregnancy

Molar pregnancy www.slideshare.net

molar partial mole

Molar Pregnancy: An Essential Diagnosis - Issues And Answers

Molar pregnancy: An essential diagnosis - Issues and Answers www.issuesandanswers.org

Molar Pregnancy .pptx

Molar pregnancy .pptx www.slideshare.net

Introduction To Molar Pregnancy – Charing Cross Gestational Trophoblast

Introduction to Molar Pregnancy – Charing Cross Gestational Trophoblast hmole-chorio.org.uk

molar ultrasound evacuation showing

Molar Pregnancy Archives - The Western Journal Of Emergency Medicine

molar pregnancy Archives - The Western Journal of Emergency Medicine westjem.com

molar pregnancy ultrasound mole complete trophoblastic disease uterus enlarged transabdominal gestational westjem pelvis arrow cystic endometrial echogenic areas multiple within

Molar Pregnancy Stock Photos, Pictures & Royalty-Free Images - IStock

Molar Pregnancy Stock Photos, Pictures & Royalty-Free Images - iStock www.istockphoto.com

20+ Molar Pregnancy Stock Photos, Pictures & Royalty-Free Images - IStock

20+ Molar Pregnancy Stock Photos, Pictures & Royalty-Free Images - iStock www.istockphoto.com

Molar Pregnancy | PPT

Molar pregnancy | PPT www.slideshare.net

Molar Pregnancy | PPT

Molar Pregnancy | PPT www.slideshare.net

📃 Molar Pregnancy

📃 Molar pregnancy thefetus.net

Molar Pregnancy

Molar pregnancy www.slideshare.net

molar vaginal clinical diagnosis

Molar Pregnancy - ConceiveEasy

Molar Pregnancy - ConceiveEasy www.conceiveeasy.com

pregnancy molar mole hydatidiform conceiveeasy false uterus tissue caused excessive

Molar Pregnancy | Symptoms Causes Treatments | Optimists Healthcare

Molar Pregnancy | Symptoms Causes Treatments | Optimists Healthcare optimists.in

Molar Pregnancy - WikEM

Molar pregnancy - WikEM www.wikem.org

molar pregnancy ultrasound snowstorm wikem findings

Molar Pregnancy: Over 45 Royalty-Free Licensable Stock Photos

Molar Pregnancy: Over 45 Royalty-Free Licensable Stock Photos www.shutterstock.com

Molar Pregnancy Discharge Pictures | You Getting Pregnant

Molar Pregnancy Discharge Pictures | You Getting Pregnant www.yougettingpregnant.com

Drhanif: Molar Pregnancy

drhanif: Molar Pregnancy hanifatlumut.blogspot.com

molar pregnancy tissue

20+ molar pregnancy stock photos, pictures & royalty-free images. Drhanif: molar pregnancy. Molar pregnancy