Web Analytics Made Easy - Statcounter
partial molar pregnancy radiopaedia Figure 1 from a rare case report: partial molar pregnancy with a live ...

partial molar pregnancy radiopaedia Figure 1 from a rare case report: partial molar pregnancy with a live ...

Molar pregnancy – case presentation of 23-year old pregnant women with

If you are looking for Molar Pregnancy, Hydatidiform Mole - Causes, Symptoms, Treatment you've visit to the right page. We have 35 Pictures about Molar Pregnancy, Hydatidiform Mole - Causes, Symptoms, Treatment like Partial Molar Pregnancy by F Miller, 📃 Partial molar pregnancy and also Partial Molar Pregnancy. Here it is:

Molar Pregnancy, Hydatidiform Mole - Causes, Symptoms, Treatment

Molar Pregnancy, Hydatidiform Mole - Causes, Symptoms, Treatment healthjade.net

Molar Pregnancy, Hydatidiform Mole - Causes, Symptoms, Treatment

(PDF) Partial Molar Pregnancy With Normal Karyotype

(PDF) Partial Molar Pregnancy With Normal Karyotype www.researchgate.net

(PDF) Partial Molar Pregnancy With Normal Karyotype

Diagnosis At A Glance: Partial Hydatidiform Molar Pregnancy | MDedge

Diagnosis at a Glance: Partial Hydatidiform Molar Pregnancy | MDedge www.mdedge.com

Diagnosis at a Glance: Partial Hydatidiform Molar Pregnancy | MDedge ...

Molar Pregnancy - WikEM

Molar pregnancy - WikEM www.wikem.org

Molar pregnancy - WikEM

A Partial Molar Pregnancy Associated With A Fetus With Intrauterine

A partial molar pregnancy associated with a fetus with intrauterine infomed.app

A partial molar pregnancy associated with a fetus with intrauterine ...

📃 Partial Molar Pregnancy With Normal Diploid Fetus

📃 Partial molar pregnancy with normal diploid fetus thefetus.net

📃 Partial molar pregnancy with normal diploid fetus

Partial Molar Pregnancy

Partial Molar Pregnancy www.dovemed.com

Partial Molar Pregnancy

Molar Pregnancy | PPT

Molar pregnancy | PPT www.slideshare.net

Molar pregnancy | PPT

Molar Pregnancy

Molar pregnancy www.slideshare.net

Molar pregnancy

Possible Partial Molar Pregnancy? | BabyCenter

Possible partial molar pregnancy? | BabyCenter community.babycenter.com

Possible partial molar pregnancy? | BabyCenter

📃 Partial Molar Pregnancy

📃 Partial molar pregnancy thefetus.net

📃 Partial molar pregnancy

Molar Pregnancy | Emory School Of Medicine

Molar Pregnancy | Emory School of Medicine med.emory.edu

Molar Pregnancy | Emory School of Medicine

Caring For Patients With Molar Pregnancy - Straight A Nursing

Caring for Patients with Molar Pregnancy - Straight A Nursing straightanursingstudent.com

Caring for Patients with Molar Pregnancy - Straight A Nursing

📃 Partial Molar Pregnancy

📃 Partial molar pregnancy thefetus.net

📃 Partial molar pregnancy

📃 Partial Molar Pregnancy

📃 Partial molar pregnancy thefetus.net

📃 Partial molar pregnancy

Molar Pregnancy | Point-of-Care Ultrasound Certification Academy

Molar Pregnancy | Point-of-Care Ultrasound Certification Academy www.pocus.org

Molar Pregnancy | Point-of-Care Ultrasound Certification Academy

Molar Pregnancy

Molar pregnancy www.slideshare.net

Molar pregnancy

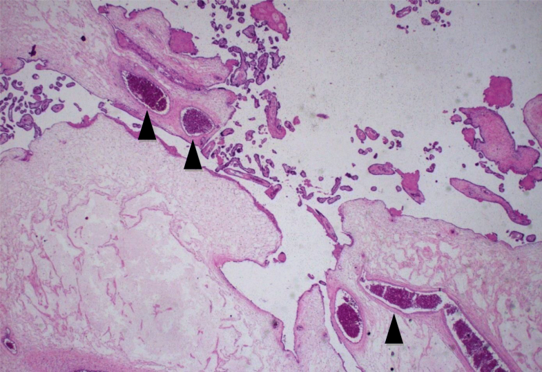
Histopathologic Findings Compatible With A Partial Molar Pregnancy

Histopathologic findings compatible with a partial molar pregnancy www.researchgate.net

Histopathologic findings compatible with a partial molar pregnancy ...

Partial Molar Pregnancy: Gynaecologists Explain Risks, Long-Term

Partial Molar Pregnancy: Gynaecologists Explain Risks, Long-Term www.timesnownews.com

Partial Molar Pregnancy: Gynaecologists Explain Risks, Long-Term ...

Molar Pregnancy - The Western Journal Of Emergency Medicine

Molar Pregnancy - The Western Journal of Emergency Medicine westjem.com

Molar Pregnancy - The Western Journal of Emergency Medicine

Molar Pregnancy – Case Presentation Of 23-year Old Pregnant Women With

Molar pregnancy – case presentation of 23-year old pregnant women with medcraveonline.com

Molar pregnancy – case presentation of 23-year old pregnant women with ...

Molar Pregnancy | Point-of-Care Ultrasound Certification Academy

Molar Pregnancy | Point-of-Care Ultrasound Certification Academy www.pocus.org

Molar Pregnancy | Point-of-Care Ultrasound Certification Academy

Partial Molar Pregnancy: Symptoms, Causes And Treatment | OnlyMyHealth

Partial Molar Pregnancy: Symptoms, Causes And Treatment | OnlyMyHealth www.onlymyhealth.com

Partial Molar Pregnancy: Symptoms, Causes And Treatment | OnlyMyHealth

Doctors Suspecting I Have A Partial Molar Pregnancy | BabyCenter

Doctors suspecting I have a partial molar pregnancy | BabyCenter community.babycenter.com

Doctors suspecting I have a partial molar pregnancy | BabyCenter

Placental Pathology From The Patient's A, Partial Molar Pregnancy

Placental pathology from the patient's A, partial molar pregnancy www.researchgate.net

Placental pathology from the patient's A, partial molar pregnancy ...

PPT - Case Presentation: Partial Molar Pregnancy PowerPoint

PPT - Case Presentation: Partial molar Pregnancy PowerPoint www.slideserve.com

PPT - Case Presentation: Partial molar Pregnancy PowerPoint ...

Molar Pregnancy – Case Presentation Of 23-year Old Pregnant Women With

Molar pregnancy – case presentation of 23-year old pregnant women with medcraveonline.com

Molar pregnancy – case presentation of 23-year old pregnant women with ...

Introduction To Molar Pregnancy – Charing Cross Gestational Trophoblast

Introduction to Molar Pregnancy – Charing Cross Gestational Trophoblast hmole-chorio.org.uk

Introduction to Molar Pregnancy – Charing Cross Gestational Trophoblast ...

Figure 1 From A Rare Case Report: Partial Molar Pregnancy With A Live

Figure 1 from A Rare Case Report: Partial Molar Pregnancy with a Live www.semanticscholar.org

Figure 1 from A Rare Case Report: Partial Molar Pregnancy with a Live ...

Partial Molar Pregnancy Explained - The Meteor

Partial Molar Pregnancy Explained - The Meteor wearethemeteor.com

Partial Molar Pregnancy Explained - The Meteor

Figure 1 From Partial Molar Pregnancy With Live Fetus Diagnosed On

Figure 1 from Partial molar pregnancy with live fetus diagnosed on www.semanticscholar.org

Figure 1 from Partial molar pregnancy with live fetus diagnosed on ...

Partial Molar Pregnancy By F Miller

Partial Molar Pregnancy by F Miller prezi.com

Partial Molar Pregnancy by F Miller

A Rare Case Report: Partial Molar Pregnancy With A Live Fetus | PDF

A Rare Case Report: Partial Molar Pregnancy with a Live Fetus | PDF www.slideshare.net

A Rare Case Report: Partial Molar Pregnancy with a Live Fetus | PDF

What Is The Difference Between Partial And Complete Molar Pregnancy

What Is The Difference Between Partial And Complete Molar Pregnancy kidoneo.com

What Is The Difference Between Partial And Complete Molar Pregnancy ...

Molar Pregnancy – Case Presentation Of 23-year Old Pregnant Women With

Molar pregnancy – case presentation of 23-year old pregnant women with medcraveonline.com

Molar pregnancy – case presentation of 23-year old pregnant women with ...

molar pregnancy – case presentation of 23-year old pregnant women with .... Placental pathology from the patient's a, partial molar pregnancy. Doctors suspecting i have a partial molar pregnancy