Web Analytics Made Easy - Statcounter
partial molar pregnancy with live fetus [pdf] partial molar pregnancy with live fetus in first trimester: what

partial molar pregnancy with live fetus [pdf] partial molar pregnancy with live fetus in first trimester: what

Molar pregnancy – case presentation of 23-year old pregnant women with

If you are searching about Molar pregnancy you've visit to the right web. We have 35 Pictures about Molar pregnancy like Molar Pregnancy | Point-of-Care Ultrasound Certification Academy, Molar Pregnancy | Point-of-Care Ultrasound Certification Academy and also A Rare Case Report of Molar Pregnancy with Coexisting Fetus. Here you go:

Molar Pregnancy

Molar pregnancy www.slideshare.net

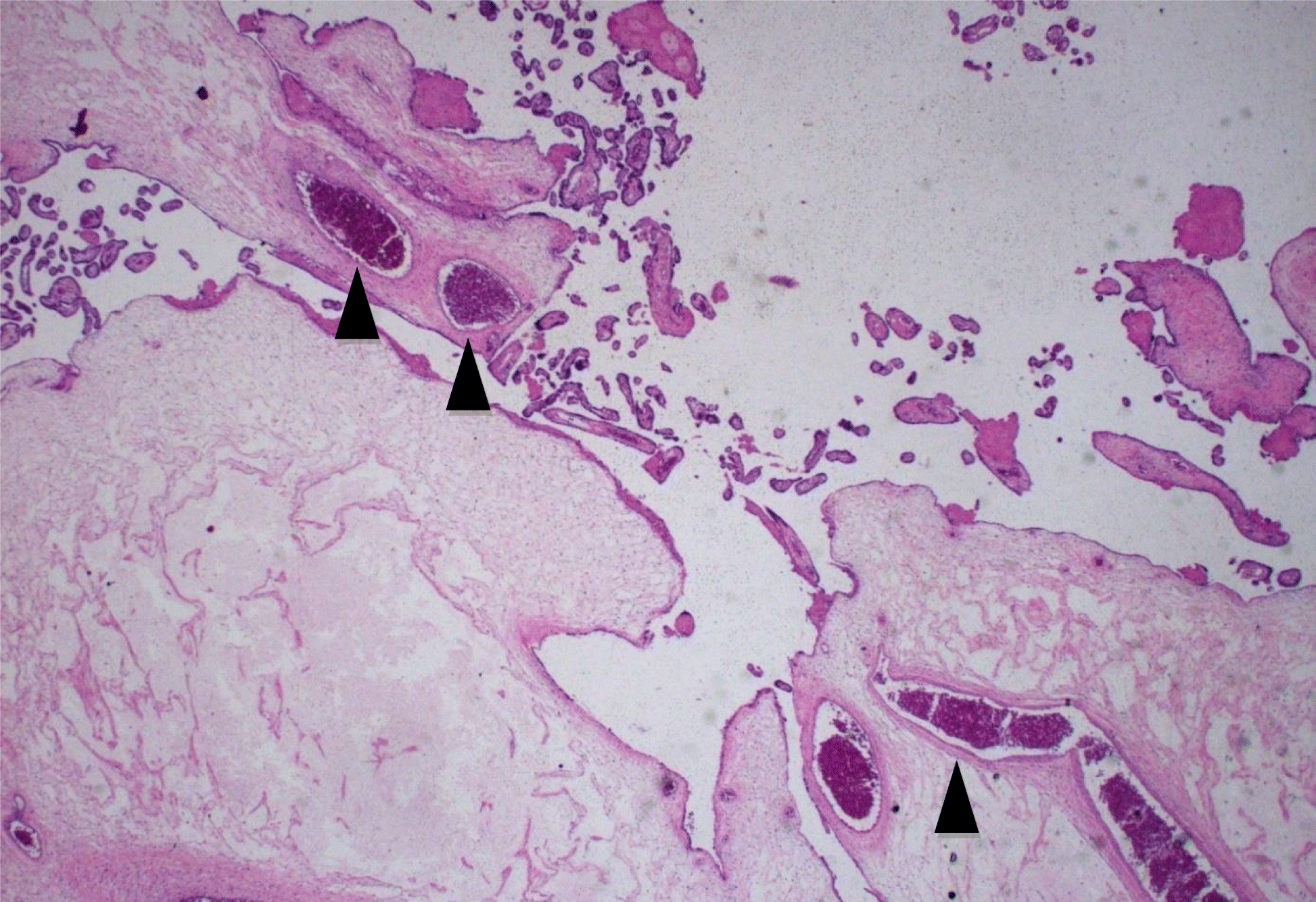
molar pregnancy partial mole hydatidiform change

(PDF) Molar Pregnancy With A Co-Existing Viable Fetus

(PDF) Molar Pregnancy with a Co-Existing Viable Fetus www.researchgate.net

fetus existing molar pregnancy viable

A Rare Case Report Of Molar Pregnancy With Coexisting Fetus

A Rare Case Report of Molar Pregnancy with Coexisting Fetus ijrsms.com

Sad Fetus Syndrome: Partial Molar Pregnancy With A Live Fetus : R

Sad Fetus Syndrome: partial molar pregnancy with a live fetus : r www.reddit.com

Molar Pregnancy – Case Presentation Of 23-year Old Pregnant Women With

Molar pregnancy – case presentation of 23-year old pregnant women with medcraveonline.com

molar case ultrasound partial cystic diffuse hydropic degeneration placenta structures

PPT - Case Presentation: Partial Molar Pregnancy PowerPoint

PPT - Case Presentation: Partial molar Pregnancy PowerPoint www.slideserve.com

molar partial pregnancy

πŸ“ƒ Partial Molar Pregnancy

πŸ“ƒ Partial molar pregnancy thefetus.net

molar partial pregnancy

(PDF) Molar Pregnancy With A Coexisting Living Fetus: A Case Series

(PDF) Molar pregnancy with a coexisting living fetus: a case series www.researchgate.net

Molar Pregnancy | Point-of-Care Ultrasound Certification Academy

Molar Pregnancy | Point-of-Care Ultrasound Certification Academy www.pocus.org

The Durability Of A Partial Molar Pregnancy: How Long Can It Survive

The Durability Of A Partial Molar Pregnancy: How Long Can It Survive shunchild.com

Molar Pregnancy, Hydatidiform Mole - Causes, Symptoms, Treatment

Molar Pregnancy, Hydatidiform Mole - Causes, Symptoms, Treatment healthjade.net

molar pregnancy ultrasound symptoms mole hydatidiform signs fetus causes

Figure 1 From Partial Molar Pregnancy And Coexisting Fetus With Turner

Figure 1 from Partial molar pregnancy and coexisting fetus with Turner www.semanticscholar.org

Possible Partial Molar Pregnancy? | BabyCenter

Possible partial molar pregnancy? | BabyCenter community.babycenter.com

molar pregnancy partial possible babycenter

What Is A Molar Pregnancy? | Watch News Videos Online

What is a molar pregnancy? | Watch News Videos Online globalnews.ca

molar

(PDF) Partial Molar Pregnancy With A Normal Live Fetus And Umbilical

(PDF) Partial molar pregnancy with a normal live fetus and umbilical www.researchgate.net

Molar Pregnancy .pptx

Molar pregnancy .pptx www.slideshare.net

Figure 1 From Partial Molar Pregnancy With Live Fetus Diagnosed On

Figure 1 from Partial molar pregnancy with live fetus diagnosed on www.semanticscholar.org

πŸ“ƒ Partial Molar Pregnancy

πŸ“ƒ Partial molar pregnancy thefetus.net

molar partial embedded

(PDF) Citation: Angela S., Et Al. Partial Molar Pregnancy With Live

(PDF) Citation: Angela S., et al. Partial Molar Pregnancy with Live www.researchgate.net

A Partial Molar Pregnancy Associated With A Fetus With Intrauterine

A partial molar pregnancy associated with a fetus with intrauterine link.springer.com

molar partial pregnancy fetal observed microscopic villus intact intrauterine fetus associated perfused restriction delivered 2150

πŸ“ƒ Partial Molar Pregnancy

πŸ“ƒ Partial molar pregnancy thefetus.net

molar partial embedded

πŸ“ƒ Partial Molar Pregnancy With Normal Diploid Fetus

πŸ“ƒ Partial molar pregnancy with normal diploid fetus thefetus.net

pregnancy molar

πŸ“ƒ Partial Molar Pregnancy With Normal Diploid Fetus

πŸ“ƒ Partial molar pregnancy with normal diploid fetus thefetus.net

Caring For Patients With Molar Pregnancy - Straight A Nursing

Caring for Patients with Molar Pregnancy - Straight A Nursing straightanursingstudent.com

πŸ“ƒ Partial Molar Pregnancy With Normal Diploid Fetus

πŸ“ƒ Partial molar pregnancy with normal diploid fetus thefetus.net

molar partial normal placenta fetus diploid honeycomb weeks seen

A Rare Case Report: Partial Molar Pregnancy With A Live Fetus

A Rare Case Report: Partial Molar Pregnancy with a Live Fetus www.slideshare.net

Molar Pregnancy – Case Presentation Of 23-year Old Pregnant Women With

Molar pregnancy – case presentation of 23-year old pregnant women with medcraveonline.com

molar pregnancy partial ultrasound ovary cysts lutein theca cystic transabdominal 2d

Molar Pregnancy | Point-of-Care Ultrasound Certification Academy

Molar Pregnancy | Point-of-Care Ultrasound Certification Academy www.pocus.org

Complete Molar Pregnancy With Coexisting Normal Twin Complicated By

Complete molar pregnancy with coexisting normal twin complicated by journals.sagepub.com

[PDF] Partial Molar Pregnancy With Live Fetus In First Trimester: What

[PDF] Partial molar pregnancy with live fetus in first trimester: what www.semanticscholar.org

Partial Molar Pregnancy Explained - The Meteor

Partial Molar Pregnancy Explained - The Meteor wearethemeteor.com

A Rare Case Report: Partial Molar Pregnancy With A Live Fetus

A Rare Case Report: Partial Molar Pregnancy with a Live Fetus www.slideshare.net

πŸ“ƒ Partial Molar Pregnancy With Normal Diploid Fetus

πŸ“ƒ Partial molar pregnancy with normal diploid fetus thefetus.net

molar fetus partial diploid placenta

Molar Pregnancy – Case Presentation Of 23-year Old Pregnant Women With

Molar pregnancy – case presentation of 23-year old pregnant women with medcraveonline.com

pregnancy molar partial ultrasound case presentation amenorrhea cystic crl dimensional corresponding fetus transabdominal dead figure not

Figure 1 From Partial Molar Pregnancy With Live Fetus Diagnosed On

Figure 1 from Partial molar pregnancy with live fetus diagnosed on www.semanticscholar.org

[pdf] partial molar pregnancy with live fetus in first trimester: what. Fetus existing molar pregnancy viable. πŸ“ƒ partial molar pregnancy with normal diploid fetus